Home Aulas Flashcards Cursos presenciais na Unicamp Cursos online Modelos de Laudo Sobre
Dr.Pixel
Dr.Pixel
Home Aulas Flashcards Cursos presenciais na Unicamp Cursos online Modelos de Laudo Sobre
Home Aulas Flashcards Cursos presenciais na Unicamp Cursos online Modelos de Laudo Sobre

Tag: Hemangioma Hepático

Lucas Ferraz
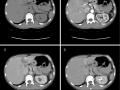
Achados clínicos, ultrassonográficos e tomográficos típicos dos hemangiomas hepáticos
Ago de 2023.
1.763
ultrassonografia abd... tomografia computado... tomografia computado...
Guilherme Soares de Oliveira Wertheimer
Hemangioma Hepático Típico
Fev de 2021.
11.695
Abdome
Hepatologia
Gastrologia
tomografia computado...
Guilherme Wertheimer
Home Aulas Flashcards Cursos presenciais na Unicamp Cursos online Modelos de Laudo Sobre Contato Entrar
Apoio

Dr. Pixel - FCM - Unicamp está licenciado com uma Licença Creative Commons - Atribuição-NãoComercial 4.0 Internacional