Hemangioblastoma Intracraniano
Caso Clínico:
Paciente do sexo feminino de 49 anos chama ao serviço de pronto-atendimento com queixa de diplopia e cefaleia hemicraniana à direita intensa e pulsátil há 9 dias. Apresenta pressão alta em uso de medicação anti-hipertensiva. No exame de fundo de olho notado edema de papila bilateral. Realizada tomografia de crânio para avaliação de hipertensão intracraniana e posteriormente, após tratamento e estabilização clínica, ressonância magnética para melhor elucidação etiológica.
Achados de Imagem do caso:
Tomografia computadorizada:
-Lesão sólido cística na periferia do hemisfério cerebelar direito, com nódulo mural sólido excêntrico posterior hipervascularizado. Determina obstrução do IV ventrículo com hidrocefalia e transudação ependimária à montante.
| Conceito importante: a transudação ependimária é um tipo de edema cerebral que ocorre quando há aumento da pressão intraventricular caracterizada pelo rompimento do revestimento ependimal ventricular permitindo a migração de fluído cefaloraquidiano para o parênquima cerebral adjacente aos ventrículos. Normalmente é observada nos ao redor dos ventrículos laterais no contexto de hidrocefalia obstrutiva aguda. Na tomografia é notada como hipoatenuação na região periventricular com apagamento dos sulcos corticais adjacentes, além das alterações relacionados com hidrocefalia. |
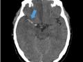
![]() |
| Corte axial de tomografia computadorizada mostrando hidrocefalia com sinais de transudação ependimária adjacente aos ventrículos laterais, notadamente no corno frontal direito. |

Figura 1: Corte sagital de tomografia computadorizada de crânio mostrando lesão sólido-cística na periferia do hemisfério cerebelar direito com realce do nódulo mural (seta). A – fase sem contraste. B – fase com contraste.
Ressonância Magnética:
-Lesão expansiva intra-axial centrada na periferia do hemisfério cerebelar direito com componente predominantemente cístico caracterizado por supressão incompleta em FLAIR (conteúdo hiperproteico) e área sólida excêntrica com realce homogêneo pelo meio de contraste.

Figura 2: Corte sagital de ressonância magnética de crânio mostrando lesão sólido-cística na periferia do hemisfério cerebelar direito com realce do nódulo mural (seta). A – Sequência pesada em T1. B –Sequência pesada em T1 após o uso de contraste (Gadolíneo).
Hipótese Diagnóstica: Hemangioblastoma intracraniano, considerar contexto clínico de síndrome de von Hippel Lindau.
Patologia:
-Tumores de origem vascular que podem ocorrer esporadicamente e em paciente com von Hippel Lindau.
-Tumores grau I da Organização Mundial de Saúde que podem ocorrer tanto no sistema nervoso central quanto nos rins, fígado e pâncreas.
-Maioria dos casos intracraniano na fossa posterior e nos hemisférios cerebelares, podendo mais raramente ser observado supratentorial nas radiações ópticas em pacientes com von Hippel Lindau.
Apresentação Clínica:
-Cefaleia: sintoma de apresentação mais comum;
-Hidrocefalia e sintomas de hipertensão intracraniana.
-Disfunção cerebelar.
-Alteração do nível de consciência.
Epidemiologia:
-Tipicamente observados em adultos de meia-idade (30-60 anos), sendo o tumor intra-axial infratentorial mais comum na faixa etária.
-Discreta predileção pelo sexo masculino.
-Casos esporádicos consistem em 75-60% dos observados, sendo o restante relacionado com von Hippel Lindau.
Associações:
-Doença de von Hippel Lindau: relacionada com desenvolvimento de númerosas neoplasias benignas e malignas em diferentes órgãos por mutações em gene supressor tumoral do cromossomo 3. Destacam-se feocromocitoma, múltiplos carcinomas de células renais e angiomiolipomas renais.
Achados de imagem:
Tomografia computadorizada:
-Nódulo mural insodenso ao tecido encefálico na fase sem contraste com cisto de atenuação fluida circundante, e com realce homogêneo na fase pós-contraste.
-As paredes císticas normalmente não apresentam realce pelo meio de contraste.
-Calcificações são incomuns.
Ressonância Magnética:
-T1: Nódulo mural pode ser inso ou hipointenso
-T1 após contraste: realce intenso do nódulo e parede cística sem realce.
-T2: nódulo mural hiperintenso sendo possível observar flow voids por vasos alargados na periferia do cisto, este último apresenta sinal semelhante ao LCR.
Complicações:
-Obstrução do sistema ventricular com hidrocefalia e hipertensão intracraniana.
Diagnósticos Diferenciais:
-Metástases;
-Astrocitoma: pilocistico em crianças e glioblastoma em adultos.
-Ependimoma;
-Lesões vasculares: má formação arterio-venosa, cavernoma com sangramento subagudo.
-Meduloblastoma.
Tratamento e prognóstico:
Ressecção cirúrgica normalmente é considerada curativa, sendo observada recorrências em até 25% dos pacientes dependendo se ressecção completa ou incompleta.
Referências:
Lee, S. R., Sanches, J., Mark, A. S., Dillon, W. P., Norman, D., & Newton, T. H. (1989). Posterior fossa hemangioblastomas: MR imaging. Radiology, 171(2), 463–468. doi:10.1148/radiology.171.2.2704812.
Seeger, J. F., Burke, D. P., Knake, J. E., & Gabrielsen, T. O. (1981). Computed tomographic and angiographic evaluation of hemangioblastomas. Radiology, 138(1), 65–73. doi:10.1148/radiology.138.1.7192875.
Slater A, Moore NR, Huson SM. The natural history of cerebellar hemangioblastomas in von Hippel-Lindau disease. AJNR Am J Neuroradiol. 2003;24 (8): 1570-4.
Ho VB, Smirniotopoulos JG, Murphy FM et-al. Radiologic-pathologic correlation: hemangioblastoma. AJNR Am J Neuroradiol. 13 (5): 1343-52.


