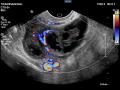
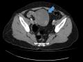
Tag: ultrassonografia transvaginal
Diagnóstico por imagem em ginecologia - Quinto ano medicina
Abr de 2022.
3.042

