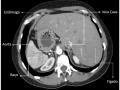
Tag: tomografia computadorizada
Diagnóstico por imagem em ginecologia - Quinto ano medicina
Abr de 2022.
3.738
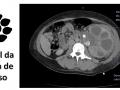
Seguimento por imagem dos principais cânceres ginecológicos
Fev de 2021.
2.947

