Home Aulas Flashcards Cursos presenciais na Unicamp Cursos online Modelos de Laudo Sobre
Dr.Pixel
Dr.Pixel
Home Aulas Flashcards Cursos presenciais na Unicamp Cursos online Modelos de Laudo Sobre
Home Aulas Flashcards Cursos presenciais na Unicamp Cursos online Modelos de Laudo Sobre

Tag: Tomografia computadorizada de tórax

Rodrigo Menezes Jales
Achados do "Rippling" (ondulações ) na reconstrução mamária com próteses
Fev de 2025.
3.446
Tomografia computado...
Rodrigo Menezes Jales
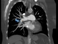
Artéria subclávia direita aberrante na tomografia de tórax
Mai de 2023.
1.914
Rodrigo Menezes Jales
Lobo pulmonar ázigos
Mai de 2022.
3.009
Tomografia computado...
Rodrigo Menezes Jales
Alterações pulmonares provocadas pela radioterapia no câncer de mama. Achados tomográficos.
Abr de 2022.
3.712
Mastologia
radioterapia
tomografia computado... Tomografia computado...
Rodrigo Menezes Jales
Conglomerado axilar em caso de carcinoma inflamatório da mama. Achados tomográficos.
Mar de 2022.
3.435
linfonodo axilar
carcinoma inflamatór...
Graduação
Mastologia
Tomografia computado... Prof. Dr. Rodrigo Me...
Rodrigo Menezes Jales
Borda superior da costela inferior
Abr de 2021.
5.302
espaço intercostal
Radiologia intervenc...
oncologia
tomografia computado... Tomografia computado...
Tromboembolismo pulmonar
Fev de 2016.
2.155
Tomografia computado...
Tromboembolismo pulmonar em paciente com câncer de mama
Fev de 2016.
17.974
oncologia
mastologia
Tomografia computado...
Raio-X de tórax
Raio-X de Tórax
Home Aulas Flashcards Cursos presenciais na Unicamp Cursos online Modelos de Laudo Sobre Contato Entrar
Apoio

Dr. Pixel - FCM - Unicamp está licenciado com uma Licença Creative Commons - Atribuição-NãoComercial 4.0 Internacional