Home Aulas Flashcards Cursos presenciais na Unicamp Cursos online Modelos de Laudo Sobre
Dr.Pixel
Dr.Pixel
Home Aulas Flashcards Cursos presenciais na Unicamp Cursos online Modelos de Laudo Sobre
Home Aulas Flashcards Cursos presenciais na Unicamp Cursos online Modelos de Laudo Sobre

Tag: oncologia

Adenocarcinoma em divertículo duodenal
Mar de 2019.
1.963
oncologia
tomografia computado... ressonancia magnetic... tomografia computado... ressonancia magnetic... endoscopia digestiva... Vanessa Mizubuti Bri...
Metástase em corpo vertebral
Jul de 2017.
2.995
oncologia
raio-X de coluna ver...
Metástase de câncer de mama para pedículo vertebral
Jul de 2017.
2.661
oncologia
raio-X de coluna ver...
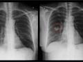
Linfonodomegalia mediastinal
Jun de 2017.
8.897
oncologia
Raio-X de tórax
Raio-X de Tórax
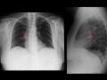
Progressão de metástase pulmonar
Jun de 2017.
3.910
Raio-X de Tórax
Metástases ósseas osteolíticas - câncer de mama
Mai de 2017.
4.781
Raio-X
Atelectasia do lobo médio secundária a metástase de câncer de mama
Jan de 2017.
26.600
oncologia
mastologia
Raio-X de tórax
Raio-X de Tórax
TC de tórax
TC de tórax
Colelitíase e metástases ósseas ao raio-x da coluna
Jan de 2017.
3.363
oncologia
mastologia
Raio-X da coluna tór...
Tromboembolismo pulmonar em paciente com câncer de mama
Fev de 2016.
17.137
oncologia
mastologia
Tomografia computado...
Raio-X de tórax
Raio-X de Tórax
Home Aulas Flashcards Cursos presenciais na Unicamp Cursos online Modelos de Laudo Sobre Contato Entrar
Apoio

Dr. Pixel - FCM - Unicamp está licenciado com uma Licença Creative Commons - Atribuição-NãoComercial 4.0 Internacional