Home
Aulas
Flashcards
Cursos presenciais na Unicamp
Cursos online
Modelos de Laudo
Sobre
Dr.Pixel
Dr.Pixel
Home
Aulas
Flashcards
Cursos presenciais na Unicamp
Cursos online
Modelos de Laudo
Sobre
Home
Aulas
Flashcards
Cursos presenciais na Unicamp
Cursos online
Modelos de Laudo
Sobre
Tag: Raio-X de tórax
Malformação adenomatoide cística pulmonar: achados clínicos e radiológicos.
Jan de 2018.
36.921
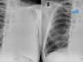
hérnia diafragmática
enfisema lobular con...
Raio-X de tórax
Raio-X de Tórax
Topografia das válvulas cardíacas no raio-x de tórax
Jul de 2017.
12.511
Raio-X de Tórax
Sinais de espondilite anquilosante e dpoc
Jul de 2017.
3.069
Desvio da traquéia
Jun de 2017.
13.718
Raio-X de Tórax
Linfonodomegalia mediastinal
Jun de 2017.
8.858
oncologia
Raio-X de tórax
Raio-X de Tórax
Progressão de metástase pulmonar
Jun de 2017.
3.867
Raio-X de Tórax
Metástases pulmonares de neoplasia trofoblástica gestacional
Mai de 2017.
3.301
Raio-X de Tórax
Atelectasia do lobo médio secundária a metástase de câncer de mama
Jan de 2017.
26.443
oncologia
mastologia
Raio-X de tórax
Raio-X de Tórax
TC de tórax
TC de tórax
Pneumonia estafilocócica complicada por abscesso pulmonar em recém-nascido
Out de 2016.
21.669
Radiologia neonatal
Raio-X de Tórax
Ultrassonografia na complementação do raio-x de tórax com suspeita de derrame pleural
Set de 2016.
55.298
Raio-X de Tórax
ultrassonografia de ...
Ultrassonografia de ...
Avaliação de hemitórax opaco à radiografia simples de tórax
Mar de 2016.
105.778
Graduação
Raio-X de Tórax
Sinais de insuficiência cardíaca no raio-x de tórax
Mar de 2016.
42.034
Raio-X de Tórax
Bossa ductal (ductus bump) em radiografia de tórax de recém-nascido
Fev de 2016.
11.356
Raio-X de tórax
Radiologia neonatal
Raio-X de Tórax
Tromboembolismo pulmonar em paciente com câncer de mama
Fev de 2016.
17.007
oncologia
mastologia
Tomografia computado...
Raio-X de tórax
Raio-X de Tórax
Pneumotórax, enfisema pulmonar intersticial e pneumoperitôneo em recém-nascido sob ventilação mecânica: aspectos radiológicos
Jan de 2016.
18.667
enfisema pulmonar in...
pneumoperitôneo
Raio-X de tórax
Raio-X de Tórax
Raio-X do Abdômen
Enfisema pulmonar
Jan de 2016.
14.679
TC de tórax
TC de tórax
Raio-X de tórax
Raio-X de Tórax
Pneumonia
Dez de 2015.
7.492
TC de tórax
Raio-X de tórax
Raio-X de Tórax
TC de tórax
TC de tórax
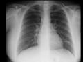
Sinais radiológicos da insuficiência cardíaca no raio-x de tórax
Dez de 2015.
35.126
Raio-X de tórax
Raio-X de Tórax
Derrame pleural
Dez de 2015.
14.800
derrame pleural
Graduação
Raio-X de Tórax
TC de tórax
Ultrassonografia de ...
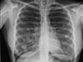
Raio-x de tórax: anatomia radiológica
Dez de 2015.
41.026
vídeo
Graduação
Raio-X
Raio-X de Tórax
Rodrigo Menezes Jales
Hérnia hiatal em raio-x de tórax
Dez de 2015.
23.045
estômago
achado de exame
Gastrointestinal
Raio-X de Tórax
CT