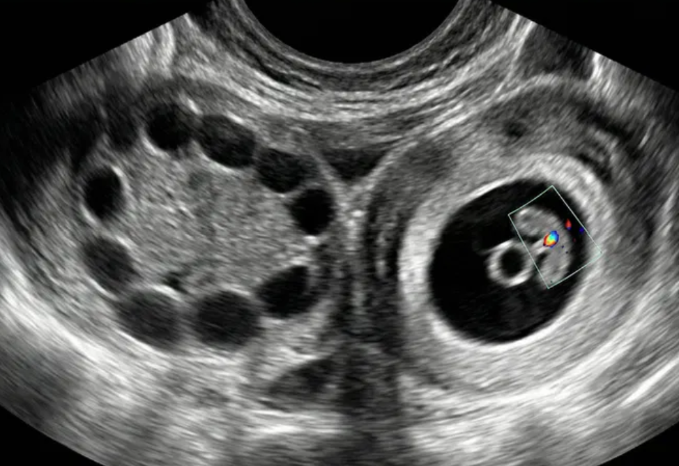
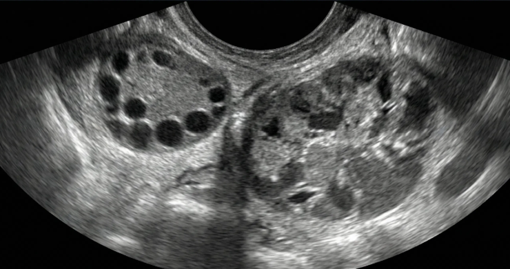
Gestação ectópica (US)
Ferramenta educacional baseada no NICE guideline NG126 (2019, atualização 2023), com abordagem conservadora. Ajuda a reconhecer sinais ultrassonográficos de gestação ectópica tubária e a lembrar a necessidade de correlação clínica e laboratorial.

Checklist interativo
Como usar
Marque os achados presentes. A interpretação aparece automaticamente com destaque (sobreposta) e serve como lembrete educacional para correlacionar com clínica e β-hCG (NICE). Ao fechar a interpretação, a seleção é limpa para você poder escolher outro achado.
Indica ectópica tubária (USTV)
Alta probabilidade (USTV)
Possível ectópica (USTV)
Achados adicionais
Ferramenta educacional baseada no NICE guideline NG126 (2019, atualizado em 2023). Não substitui avaliação clínica individual.
Referências
- National Institute for Health and Care Excellence (NICE). Ectopic pregnancy and miscarriage: diagnosis and initial management. NICE guideline NG126. London: NICE; 2019. Updated 23 Aug 2023. Disponível em: https://www.nice.org.uk/guidance/ng126