Classificação - O-RADS
Sistema de classificação de risco para massas anexiais baseado em características ultrassonográficas. Identifique a categoria O-RADS US e a recomendação da conduta de acordo com os achados ultrassonográficos e o status menopausal.

Sobre o Sistema O-RADS US
O sistema O-RADS US (Ovarian-Adnexal Reporting and Data System Ultrassonografia) é um sistema de classificação de risco padronizado para massas anexiais baseado em características ultrassonográficas.
Versão utilizada no site: O-RADS US v2022: An Update from the American College of Radiology's Ovarian-Adnexal Reporting and Data System US Committee.
O-RADS US 0: Avaliação incompleta
O-RADS US 1: Ovário normal
O-RADS US 2: Quase certamente benigno (<1%)
O-RADS US 3: Baixo risco de malignidade (<10%)
O-RADS US 4: Risco intermediário (10-<50%)
O-RADS US 5: Alto risco (≥50%)
Categorias O-RADS US
Crédito: Colégio Americano de Radiologia (ACR) — O-RADS® (Ovarian-Adnexal Reporting and Data System). Paleta de cores baseada em material do ACR.
O-RADS US 0 — Avaliação Incompleta
Risco: Não avaliávelAs características da lesão relevantes para a estratificação de risco não podem ser avaliadas com precisão devido a fatores técnicos.
Achados ultrassonográficos

Conduta
Repetir estudo por US ou RM
O-RADS US 1 — Ovário Normal
Risco: NormalSem lesão ovariana. Ovário normal.
Status Menopausal
Achados ultrassonográficos (pré-menopausa)

Conduta (pré-menopausa)
Nenhuma conduta necessária
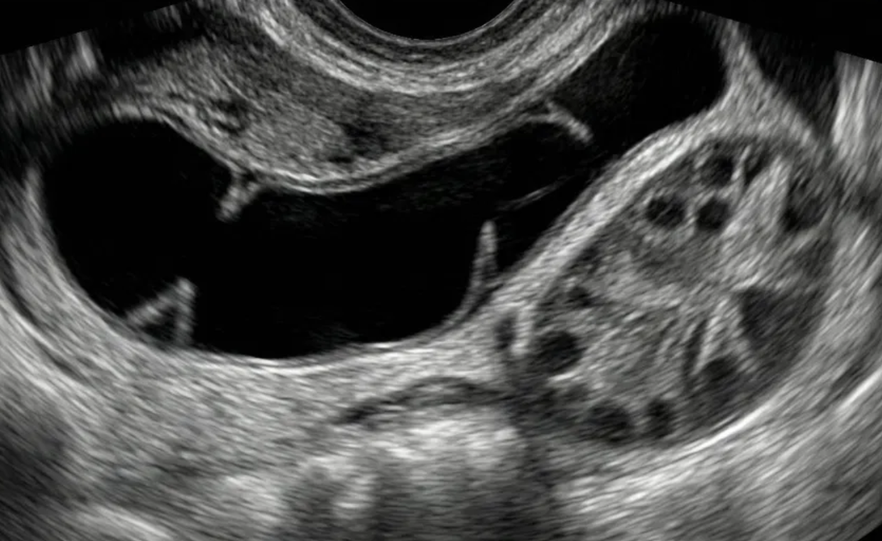
O-RADS US 2 — Quase Certamente Benigno
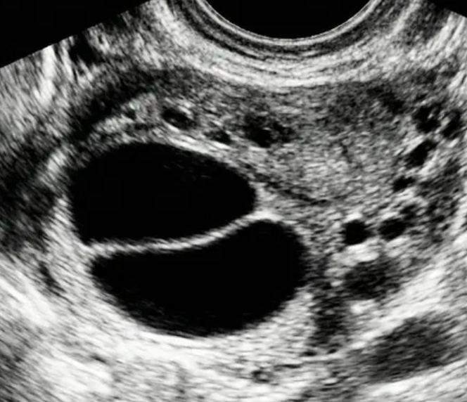
Risco: <1%Cistos simples, uniloculares lisos, lesões benignas clássicas (hemorrágico, dermoide, endometrioma, paraovariano, peritoneal, hidrossalpinge).
Status Menopausal
Achados ultrassonográficos (pré-menopausa)

Lesão benigna clássica


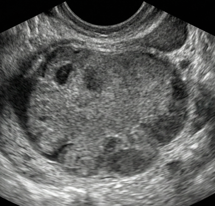
O-RADS US 3 — Baixo Risco de Malignidade
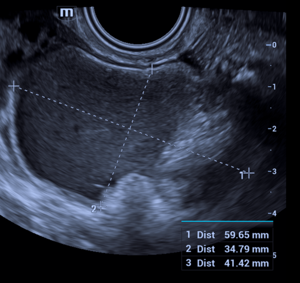
Risco: <10%Cisto unilocular ≥ 10 cm, cistos dermoides/endometriomas/hemorrágicos ≥ 10 cm, cisto unilocular com parede irregular < 3 mm, cisto multilocular < 10 cm com parede lisa, lesão sólida com superfície lisa.
Achados ultrassonográficos




Conduta
Se não removida cirurgicamente, considerar seguimento com US em 6 meses. Se sólido considerar US com especialista (se disponível) ou RM (com classificação O-RADS MRI). Seguimento com ginecologista.
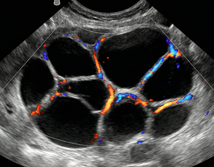
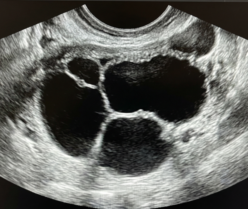
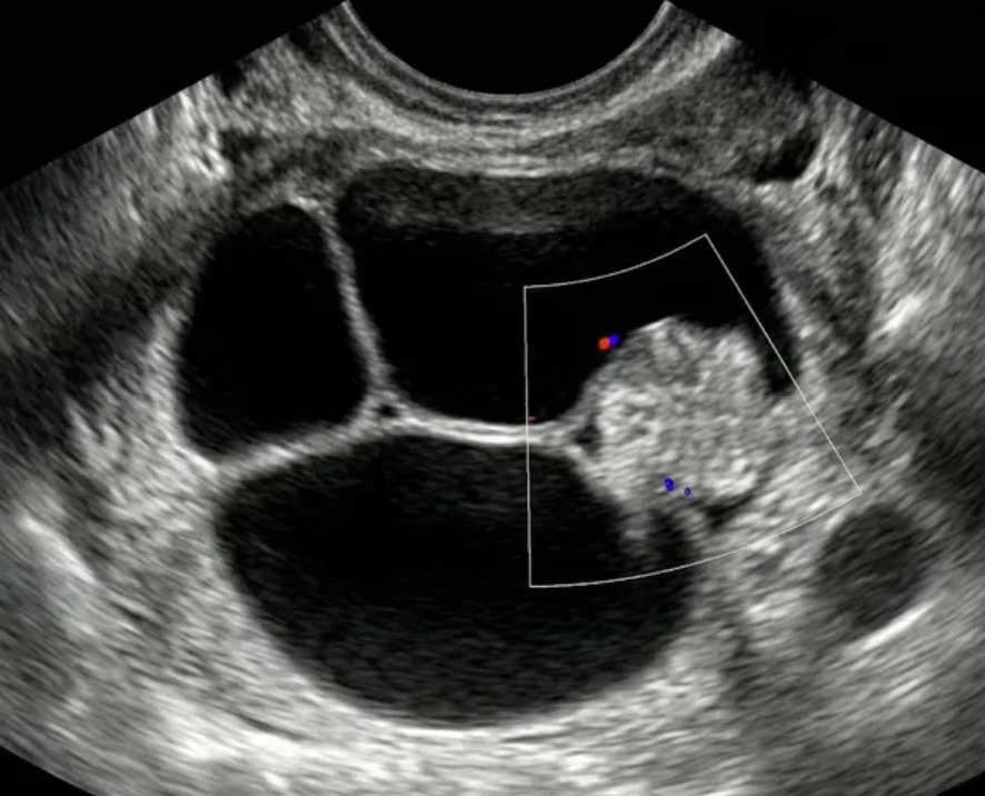
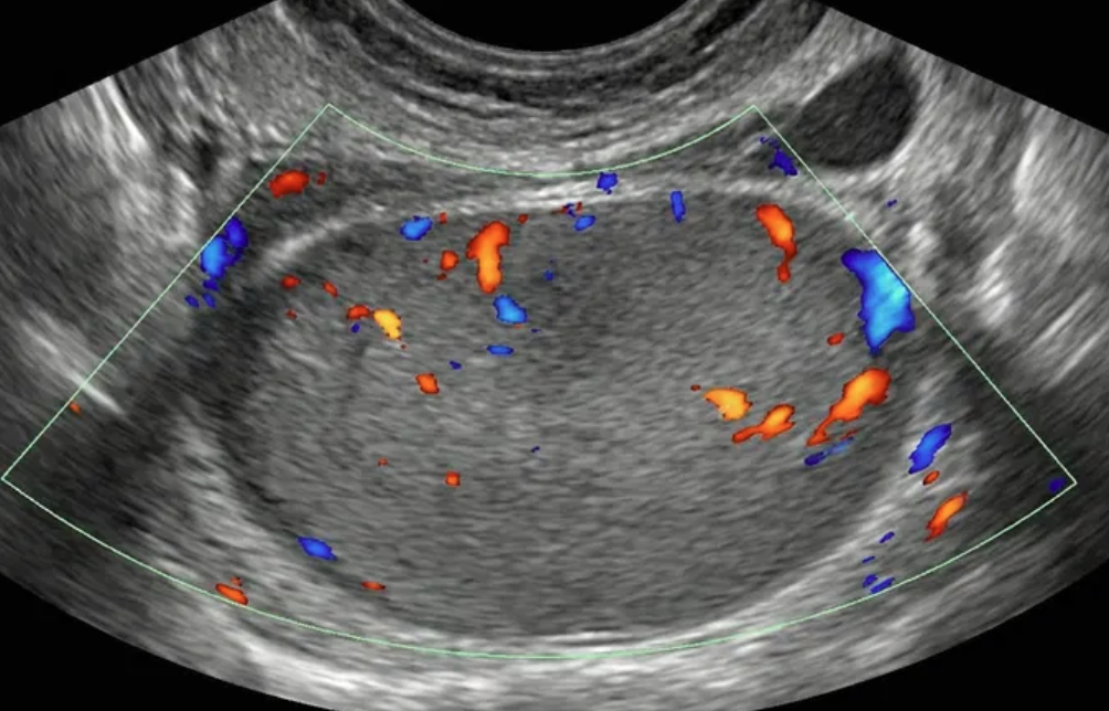
O-RADS US 4 — Risco Intermediário
Risco: 10-<50%Cisto multilocular sem componente sólido ≥ 10 cm ou com IC = 4, cisto unilocular/multilocular com componente sólido, lesão sólida com superfície lisa e IC = 2–3.
Cisto multilocular, sem componente sólido




Cisto unilocular com componente sólido


Cisto multilocular com componente sólido

Lesão sólida

Conduta
Opções de imagem incluem US com especialista (se disponível) e RM (com O-RADS MRI score), de acordo com o protocolo do ginecologista-oncologista. Atendimento pelo ginecologista com consulta ao ginecologista-oncologista ou exclusivamente pelo ginecologista-oncologista.
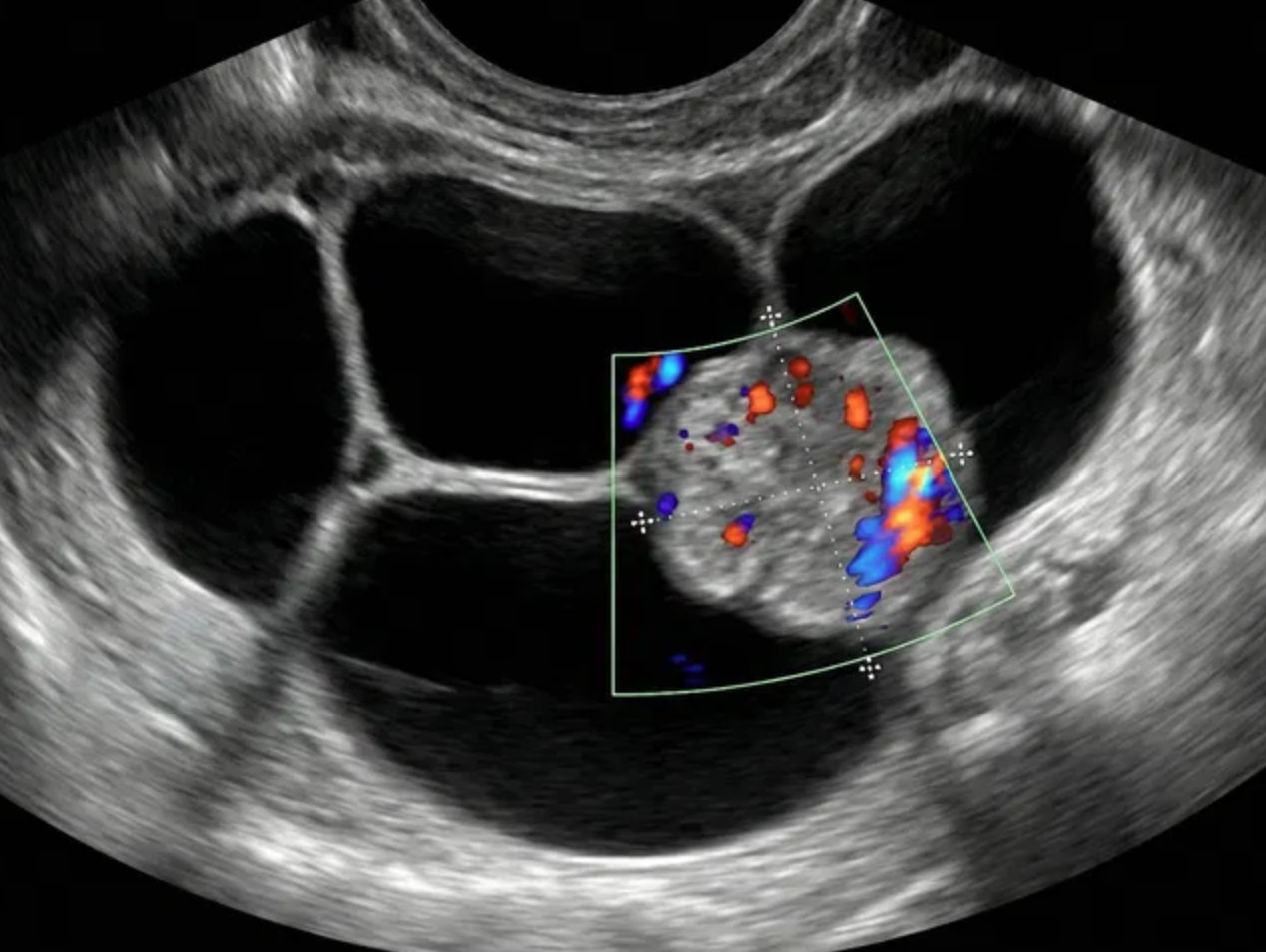
O-RADS US 5 — Alto Risco
Risco: ≥50%Cisto unilocular com ≥ 4 projeções papilares, cisto multilocular com componente sólido e IC = 3–4, lesão sólida com IC = 4 ou superfície irregular, presença de ascite e/ou nódulos peritoneais.
Achados ultrassonográficos





Conduta
Acompanhamento pelo gineco-oncologista
Referências
Strachowski LM, Jha P, Phillips CH, Blanchette Porter MM, Froyman W, Glanc P, Guo Y, Patel MD, Reinhold C, Suh-Burgmann EJ, Timmerman D, Andreotti RF. O-RADS US v2022: An Update from the American College of Radiology's Ovarian-Adnexal Reporting and Data System US Committee. Radiology. 2023 Sep;308(3):e230685. doi: 10.1148/radiol.230685. PMID: 37698472.
Andreotti RF, Timmerman D, Strachowski LM, Froyman W, Benacerraf BR, Bennett GL, Bourne T, Brown DL, Coleman BG, Frates MC, Goldstein SR, Hamper UM, Horrow MM, Hernanz-Schulman M, Reinhold C, Rose SL, Whitcomb BP, Wolfman WL, Glanc P. O-RADS US Risk Stratification and Management System: A Consensus Guideline from the ACR Ovarian-Adnexal Reporting and Data System Committee. Radiology. 2020 Jan;294(1):168-185. doi: 10.1148/radiol.2019191150. Epub 2019 Nov 5. PMID: 31687921.