Plataforma de Educação e Apoio à Decisão em Imagem da Mulher

Texto ilustrado

Diagnóstico por imagem na saúde da mulher - quinto ano da graduação.

Particularidades dos exames de imagem na saúde da mulher

  • Ginecologia
  • Fundamentos
  • 29 min
  • Publicado em
  • Atualizado em
← Voltar para aulas

Conteúdo

Diagnóstico por imagem na saúde da mulher - quinto ano da graduação.

Diagnóstico por imagem na saúde da mulher - quinto ano da graduação.

Subtítulo: Particularidades dos exames de imagem na saúde da mulher

Especialidade: ginecologia | Nível: fundamentos

Conteúdo

Diagnóstico por Imagem na Saúde da Mulher

5º Ano da Graduação – Medicina


Aplicações, princípios, vantagens e limitações dos principais métodos


Principais métodos de imagem utilizados no diagnóstico por imagem na saúde da mulher


1- RADIOGRAFIA CONVENCIONAL


--> A radiografia tem papel limitado na saúde da mulher, mas continua útil principalmente na avaliação torácica, óssea e em situações de urgência abdominal.

Principais utilidades na saúde da mulher

1. Avaliação torácica

  •  Investigação de dispneia, dor torácica e febre:
  • Diagnóstico de:
  • Pneumonia
  • Derrame pleural
  • Edema pulmonar
  • Tromboembolismo pulmonar (achados indiretos)
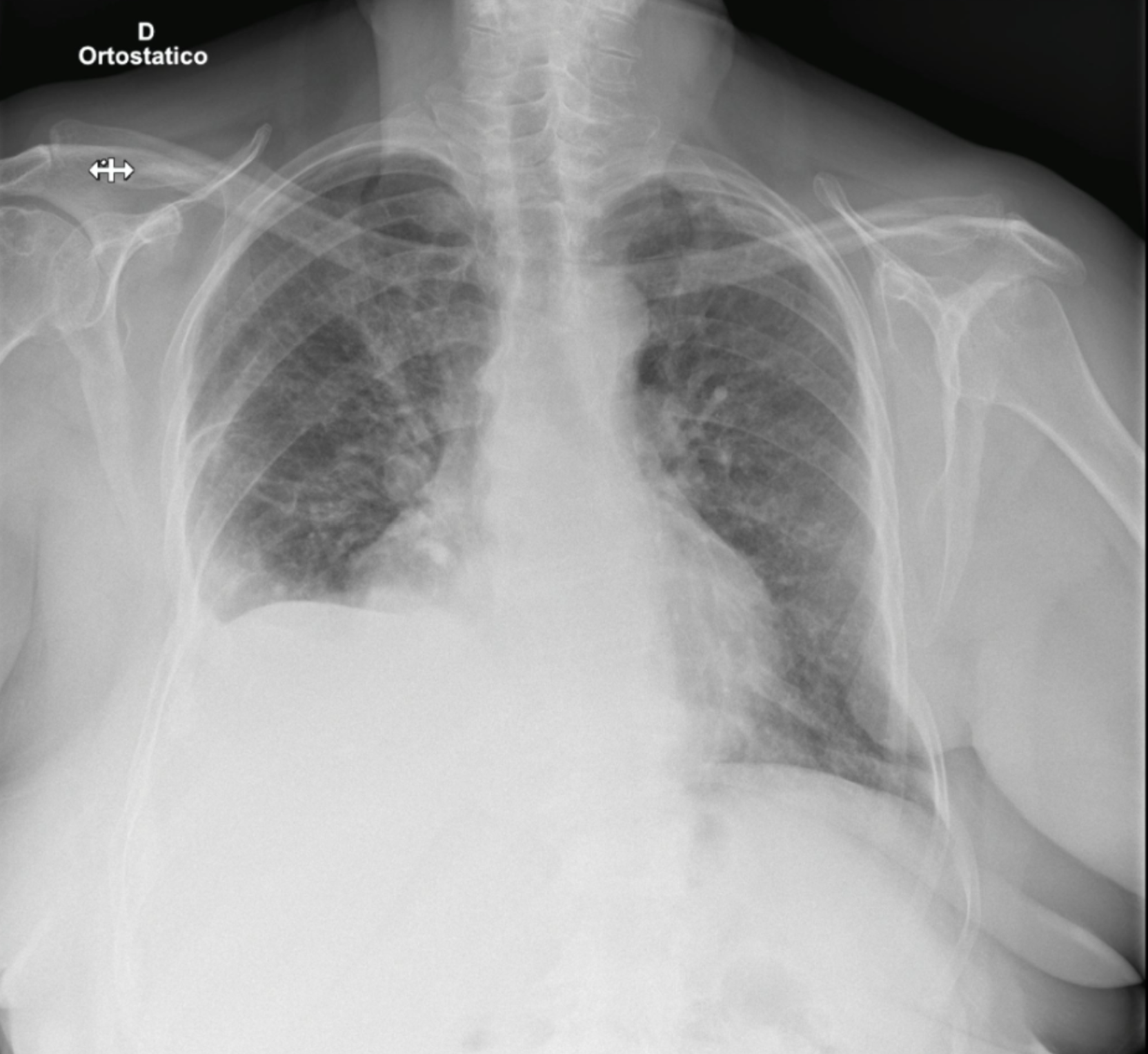
torax_derramepleural
Observa-se derrame pleural à direita, associado a velamento basal e provável atelectasia compressiva. Nota-se também aumento difuso da trama pulmonar com padrão interstício-alveolar bilateral, de predomínio perihilar, sugestivo de congestão pulmonar. Conjunto de achados compatível com edema pulmonar de provável etiologia cardiogênica.



2. Avaliação no contexto oncológico

  • Pesquisa inicial de metástases pulmonares
    • Avaliação de complicações relacionadas ao tratamento:
      • Infecções
      • Avaliação inicial de toxicidade pulmonar por quimioterapia
nodulo_RaioX_Torax
“Radiografia de tórax evidenciando nódulo pulmonar (círculo), um achado que pode ser identificado em exames simples e que frequentemente requer investigação complementar por tomografia.”




3. Avaliação abdominal inicial

  • Investigação de:
    • Dor abdominal aguda
    • Distensão abdominal
    • Pode identificar:
      • Níveis hidroaéreos (obstrução intestinal)
      • Pneumoperitônio (perfuração)
      • Corpos estranhos ou calcificações
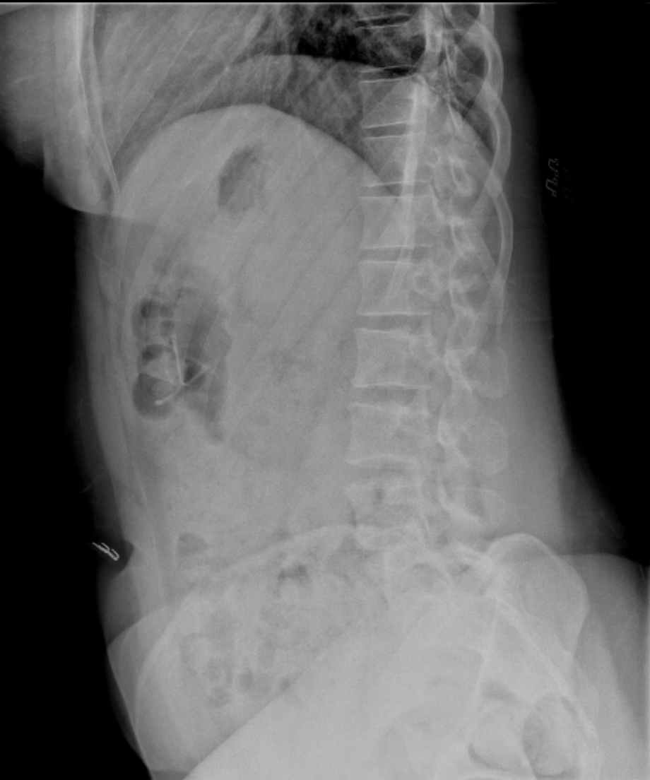
    Raio_X_DIU
    Radiografia de abdome (perfil). Observa-se dispositivo intrauterino (DIU) projetado fora da topografia uterina, localizado na cavidade abdominal, compatível com perfuração uterina e migração do dispositivo. Achado raro, porém relevante, com potencial risco de complicações.




4. Avaliação osteoarticular

  • Diagnóstico de:
  • Fraturas (especialmente em mulheres com osteoporose)
  • Lesões ósseas suspeitas (metástases)
raiox_meta_isquio
Radiografia de pelve. Observa-se lesão óssea expansiva e heterogênea no ísquio direito, com áreas de destruição cortical e aspecto agressivo. Achados compatíveis com metástase óssea no contexto de câncer de mama.



Vantagens

  • Exame rápido e de baixo custo

  • Ampla disponibilidade

  • Útil para avaliação inicial, especialmente em situações de urgência

Limitações

  • Baixa resolução para avaliação de partes moles

  • Utiliza radiação ionizante

  • Valor limitado na avaliação detalhada das doenças ginecológicas


2- RADIOGRAFIA CONTRASTADA

Histerossalpingografia (HSG)


--> A histerossalpingografia é um exame simples e amplamente utilizado na investigação da infertilidade, especialmente para avaliar a permeabilidade das tubas uterinas.


Vantagens

  • Melhor método radiológico para avaliar permeabilidade tubária
  • Visualiza diretamente a cavidade uterina e o trajeto tubário
  • Exame relativamente rápido e amplamente disponível
  • Potencial efeito terapêutico em alguns casos (lavagem tubária)
  • Custo menor que RM ou procedimentos invasivos

Limitações

  • Usa radiação ionizante
  • Pode causar dor durante a injeção do contraste
  • Risco de infecção pélvica, especialmente em pacientes com DIP prévia
  • Possível espasmo tubário, simulando obstrução
  • Contraindicado se houver  infecção ginecológica ativa ou sangramento importante
  • Não avalia adequadamente peritônio, ovários e massas anexiais
  • Não detecta alterações extraluminais que também podem causar infertilidade (como endometriose profunda)

Obstrução tubárea bilateral. Tubas dilatadas pelo contraste, que não atingiu a cavidade uterina (Cottè negativo).

3 — ULTRASSONOGRAFIA


Ultrassonografia Transvaginal (US-TV)

-->A ultrassonografia transvaginal é o principal método de imagem para avaliação ginecológica.

Principais utilidades

  • Avaliação do útero e endométrio

    • Investigação de:
      • Sangramento uterino anormal (diferenciação entre causas estruturais e não estruturais)):
      • Causas estruturais  (PALM) 
      • Pólipos endometriais (P)
      • Adenomiose (A)
      • Leiomiomas ((L)
      • Maligno (M)
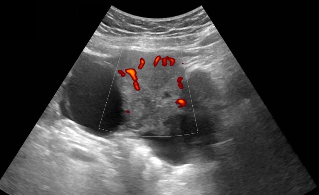
    mioma_parido_gel
    Ultrassonografia transvaginal com Doppler colorido. Observa-se formação sólida intracavitária, heterogênea, com pedículo vascular identificado ao Doppler, exteriorizando-se através do canal cervical. Achados compatíveis com mioma submucoso pediculado em processo de exteriorização (mioma parido).




    2. Avaliação dos ovários e anexos

    • Caracterização de:
      • Cistos ovarianos
      • Massas anexiais
    cisto_hemorragico_reticular
    Ultrassonografia transvaginal. Observa-se formação cística anexial com conteúdo interno heterogêneo, apresentando finos ecos e padrão reticular (aspecto em “rede”/fibrina), sem componentes sólidos verdadeiros. Achados característicos de cisto hemorrágico ovariano.



    • Diferenciação entre lesões benignas e suspeitas (ex: uso de critérios como IOTA / O-RADS)
    • Diagnóstico de:
      • Torção ovariana
      • Endometriomas
      • Endometriose profunda
    O_RADS_5
    Ultrassonografia transvaginal com Doppler colorido. Observa-se massa anexial sólida, de contornos irregulares, com ecotextura heterogênea e vascularização interna ao Doppler, sem características de benignidade. Achados altamente suspeitos para malignidade, classificados como O-RADS 5.


    Endometriose_Ligamento_Redondo_Esquerdo
    Ultrassonografia transvaginal. Espessamento do ligamento redondo esquerdo, de aspecto infiltrativo → sugestivo de endometriose profunda.




    3. Avaliação da infertilidade

    • Monitoramento folicular
    • Avaliação da reserva ovariana (contagem de folículos antrais)
    • Estudo da cavidade uterina (ex: histerossonografia)

    4. Avaliação da gestação inicial

    • Confirmação de gestação intrauterina
    • Datação gestacional
    • Avaliação de viabilidade embrionária
    • Diagnóstico de:
      • Gravidez ectópica
      • Abortamento
      • Doença trofoblástica gestacional


    5. Investigação de dor pélvica

    •  Avaliação de:
      • Doença inflamatória pélvica (principalmente fazendo diagnósticos diferenciais)
      • Endometriose (especialmente profunda, em mãos experientes)
      • Coleções (líquido livre, hematomas, abscessos)

Vantagens

  • Alta resolução de partes moles

  • Sem radiação

  • Baixo custo e alta disponibilidade

  • Avaliação dinâmica

  • Método de escolha para análise detalhada da pelve profunda

Limitações

  • Operador-dependente

  • Campo de visão limitado

  • Menor utilidade em massas volumosas

  • Pode ser desconfortável

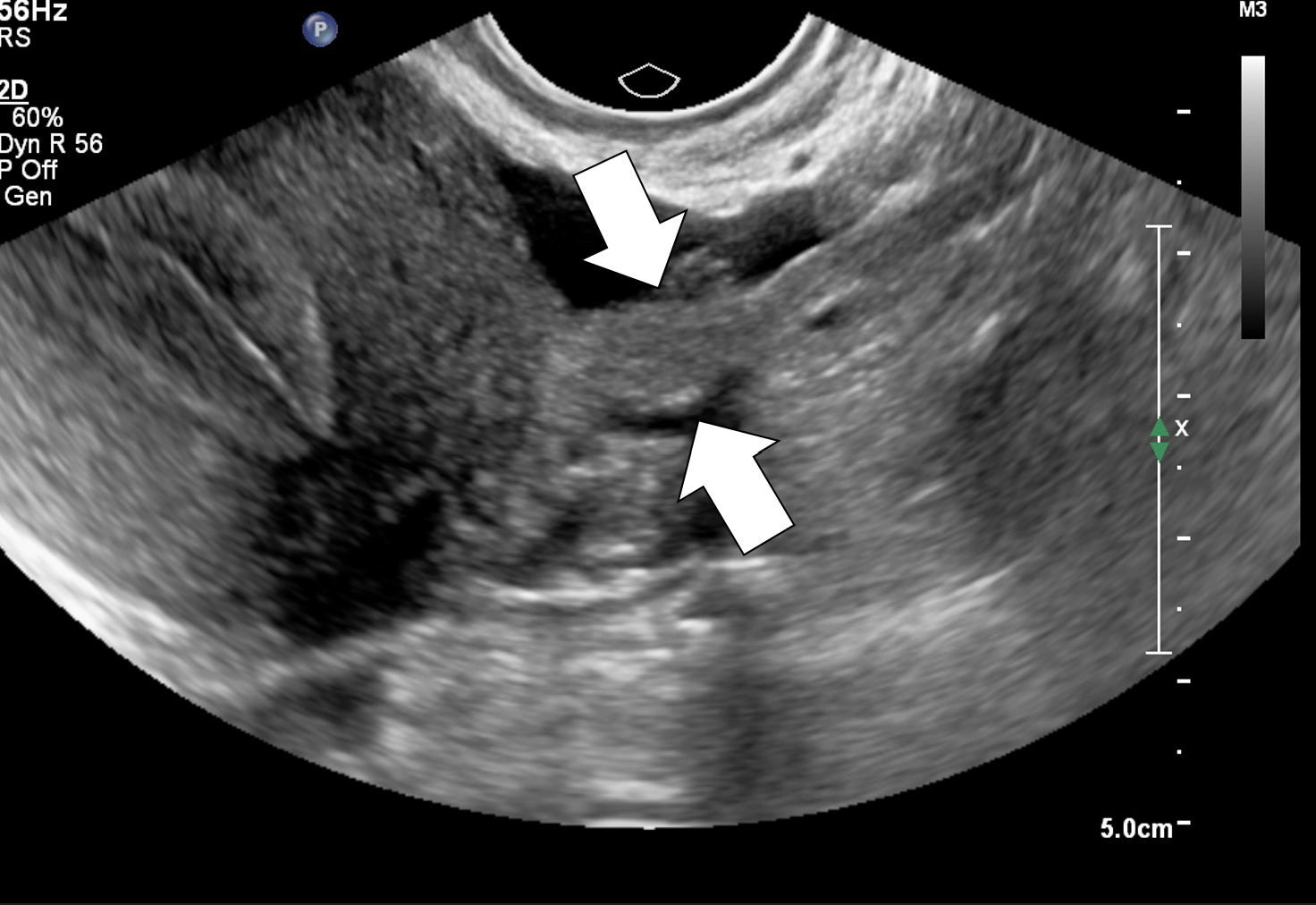
DIU mal posicionando, perfurando a parede posterior do miométrio.




Ultrassonografia  Transabdominal

-->A ultrassonografia pélvica transabdominal permite uma visão panorâmica da pelve, sendo complementar à ultrassonografia transvaginal na avaliação de útero, ovários e massas pélvicas.


Principais utilidades

  • 1. Avaliação global da pelve

    • Visão panorâmica do:
      • Útero
      • Ovários
      • Anexos
    • Útil para:
      • Massas volumosas
      • Avaliação inicial em dor pélvica

    2. Complemento à US transvaginal

    •  Melhor avaliação de:
      • Lesões que ultrapassam o campo da US-TV
      • Relação com estruturas adjacentes fora da pelve.
    • Fundamental em:
      • Miomas volumosos
      • Grandes massas anexiais

3. Situações em que a via transvaginal não é possível

  • Pacientes:
    • Virgens
    • Com dor intensa
    • Que recusam o exame transvaginal

5. Avaliação abdominal associada

  • Investigação de:
    • Ascite
    • Massas abdominais
    • Complicações associadas (ex: hidronefrose por compressão pélvica)

Vantagens

  • Permite visão global da pelve e do abdome inferior
  • Método rápido e indolor
  • Não utiliza radiação ionizante

Limitações

  • Menor resolução espacial que a ultrassonografia transvaginal (US-TV)
  • Dependência de bexiga cheia para adequada visualização das estruturas pélvicas
  • Qualidade da imagem pode ser prejudicada por obesidade e gás intestinal

Ultrassonografia de Mama

--> A ultrassonografia mamária é o principal método complementar à mamografia e o método de escolha para guiar procedimentos percutâneos na mama.

Principais utilidades


1. Avaliação de nódulos mamários

  • Diferenciação entre:
    • Lesões císticas
    • Lesões sólidas
carcinoma_mpilifero_USmama
Ultrassonografia mamária com Doppler colorido. Observa-se nódulo de ecotextura mista sólido-cística, com componente sólido intracístico e vascularização ao Doppler. Achados suspeitos, e, neste caso, compatíveis com carcinoma papilífero confirmado ao anatomopatológico.



  • Caracterização de nódulos quanto a:
    • Forma
    • Margens
    • Orientação
    • Ecotextura
  • Aplicação de sistemas de classificação (ex: BI-RADS US)

2. Complemento à mamografia

  • Esclarecimento de achados mamográficos:
    • Nódulos
    • Assimetrias
    • Linfonodos axilares
  • Especialmente útil em:
    • Mamas densas

3. Avaliação de sintomas clínicos

  • Investigação de:
    • Nódulo palpável
    • Dor mamária
    • Secreção papilar
  • Correlação clínico-radiológica

4. Rastreamento em grupos selecionados

  • Pode ser utilizada como método complementar em:
    • Mulheres com alto risco
    • Mamas densas (como complemento à mamografia)

5. Avaliação de linfonodos axilares

  • Caracterização de linfonodos:
    • Morfologia
    • Espessamento cortical
    • Preservação do hilo
  • Importante no estadiamento do câncer de mama

6. Guia para procedimentos

  • Orientação em tempo real para:
    • Biópsias percutâneas (core biopsy e mamotomia)
    • Punções aspirativas
    • Marcações pré-cirúrgicas 

Vantagens

  • Não utiliza radiação ionizante
  • Particularmente útil em mulheres jovens
  • Excelente método para guiar procedimentos percutâneos
  • Pode detectar achados não visíveis na mamografia em mamas densas

Limitações

  • Operador-dependente
  • Não substitui o rastreamento mamográfico
  • Baixa sensibilidade para microcalcificações e distorções arquiteturais

Procedimento percutâneo mamário guiado pela ultrassonografia.




4- MAMOGRAFIA 

--> A mamografia é o único método de imagem comprovadamente capaz de reduzir a mortalidade por câncer de mama por meio do rastreamento.


Principais utilidades


1. Rastreamento do câncer de mama
  • Método padrão para:
    • Detecção precoce de lesões malignas
  • Identifica:
    • Nódulos
    • Microcalcificações
    • Assimetrias
    • Distorções
  • Indicado para:
    • Mulheres assintomáticas em programas de rastreamento

2. Avaliação diagnóstica

  • Investigação de:
    • Nódulo palpável
    • Alterações clínicas (retração, secreção papilar)
  • Complementada por:
    • Ultrassonografia
    • Incidências adicionais

3. Detecção de microcalcificações

  • Principal método para identificar:
    • Microcalcificações suspeitas
  • Importante para diagnóstico de:
    • Carcinoma ductal in situ (CDIS)

4. Avaliação da extensão da doença

  • Estudo de:
    • Multifocalidade
    • Multicentricidade
  • Planejamento terapêutico

5. Acompanhamento e controle

  • Seguimento de:
    • Lesões provavelmente benignas
    • Pacientes tratadas por câncer de mama

Vantagens

  • Único método que comprovadamente comprovadamente reduz a mortalidade pelo rastreamento

  • Alta disponibilidade

Limitações

  • Menor sensibilidade em mamas densas

  • Usa radiação ionizante

  • Pode causar desconforto pela compressão

Detecção precoce do câncer de mama pela mamografia.




5- DENSITOMETRIA ÓSSEA (DXA)

--> A densitometria óssea (DXA) é o método padrão para diagnóstico de osteoporose e avaliação do risco de fraturas, especialmente em mulheres após a menopausa.


Principais utilidades


1. Diagnóstico de osteopenia e osteoporose

  • Medida da densidade mineral óssea (DMO) em:
    • Coluna lombar
    • Fêmur proximal
    • (Quando necessário) antebraço
  • Classificação baseada no T-score:
    • Normal
    • Osteopenia
    • Osteoporose

2. Avaliação do risco de fratura

  • Estimativa do risco de fraturas osteoporóticas
  • Integração com fatores clínicos (ex: idade, menopausa, histórico familiar)

3. Monitoramento terapêutico

  • Acompanhamento da resposta ao tratamento:
    • Bifosfonatos
    • Denosumabe
    • Terapia hormonal
  • Avaliação da estabilidade ou perda de massa óssea ao longo do tempo

4. Avaliação em grupos de risco

  • Indicado para:
    • Mulheres pós-menopausa
    • Uso crônico de corticoides
    • Baixo peso corporal
    • Doenças associadas à perda óssea

5. Avaliação da composição corporal (em alguns equipamentos)

  • Estimativa de:
    • Massa magra
    • Massa gorda
  • Utilidade em:
    • Pesquisa
    • Avaliação metabólica

Vantagens

  • Padrão ouro para densidade óssea

  • Baixa radiação

  • Excelente reprodutibilidade

Limitações

  • Não detecta fratura diretamente

  • Resultados influenciados por artrose e artefatos

  • Menor disponibilidade em alguns locais

Exame de densitometria óssea do fêmur e da coluna lombar



6- TOMOGRAFIA COMPUTADORIZADA (TC)


A tomografia é amplamente utilizada no estadiamento oncológico e na avaliação do abdome e tórax, mas tem papel limitado na avaliação ginecológica detalhada, quando comparada à ultrassonografia e à ressonância magnética.


Principais utilidades


1. Avaliação de dor abdominal aguda

  • Investigação de:
    • Abdome agudo
    • Dor pélvica de origem incerta
    • Febre de provavel origem abdominal
    • Sangramento em pós operatório
  • Diagnóstico de:
    • Apendicite
    • Diverticulite
    • Complicações infecciosas ou inflamatórias

2. Estadiamento oncológico

  • Avaliação de:
    • Tumores ginecológicos (ovário, corpo uterino, endométrio, colo uterino)
    • Câncer de mama (doença avançada)
  • Pesquisa de:
    • Linfonodomegalias
    • Metástases (pulmão, fígado, peritônio, ossos)
    • Linfangite carcinomatose
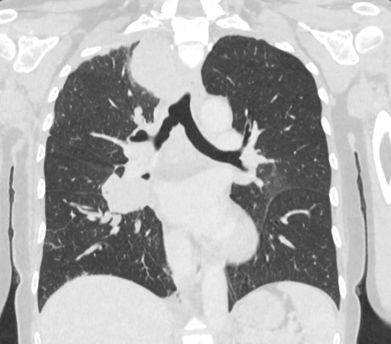
TC_5ano
Tomografia computadorizada de tórax. Observam-se linfonodos peribrônquicos aumentados, alguns com sinais de invasão brônquica, associados a múltiplos nódulos pulmonares bilaterais, sendo o maior localizado no lobo superior do pulmão direito. Achados sugestivos de disseminação metastática no contexto de câncer de mama.



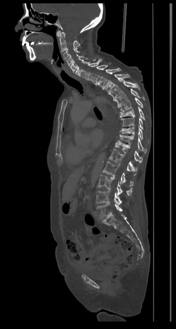
fraturas patologicas_multiplas_metas_osseas
Tomografia computadorizada (reconstrução sagital). Observam-se múltiplas lesões ósseas mistas (líticas e blásticas) acometendo a coluna cervical, torácica e lombar, compatíveis com metástases ósseas no contexto de câncer de mama. Associam-se fraturas patológicas dos corpos vertebrais de T8, T10, T11 e T12, com redução superior a 50% da altura e discreta retropulsão dos muros posteriores.





3. Avaliação de complicações

  • Identificação de:
    • Abscessos
    • Perfurações
    • Hemorragias
  • Muito útil em pacientes:
    • Em tratamento oncológico
    • Imunossuprimidas

4. Avaliação torácica

  • Investigação de:
    • Tromboembolismo pulmonar (angio-TC)
    • Doença pulmonar intersticial
    • Infecções e metástases pulmonares

5. Avaliação urológica

  •  Diagnóstico de:
    • Litíase urinária
    • Hidronefrose
  • Importante em:
    • Compressões ureterais por massas pélvicas

Vantagens

  • Excelente campo de visão

  • Rápida, indicada em emergências

  • Boa para avaliar extensão de doença

Limitações

  • Radiação ionizante

  • Exige contraste iodado em muitos estudos

  • Menos sensível para caracterização fina de partes moles, principalmente na pelve


7- RESSONÂNCIA MAGNÉTICA (RM)


--> A ressonância magnética oferece excelente contraste de partes moles, sendo útil para caracterizar lesões pélvicas complexas e avaliar a extensão da doença.


Principais utilidades

1. Avaliação da pelve feminina

  • Estudo detalhado de:
    • Útero (endométrio e miométrio)
    • Ovários e anexos
    • Diagnóstico de:
      • Endometriose profunda
      • Adenomiose
      • Malformações uterinas complexas
      • Massas complexas 

    2. Caracterização de massas anexiais

    • Diferenciação entre:
      • Lesões benignas
      • Lesões malignas
    • Especialmente útil em:
      • Casos indeterminados à ultrassonografia

    3. Estadiamento oncológico

    • Avaliação de:
      • Tumores ginecológicos (colo e corpo uterinos, endométrio, ovário)
      • Extensão local da doença
    • Planejamento terapêutico / cirúrgico.
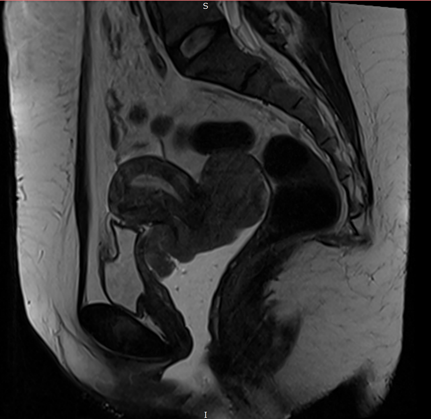
    RM_5oANO
    Ressonância magnética da pelve (plano sagital). Observa-se volumosa lesão expansiva cervical, heterogênea, com restrição à difusão e realce pós-contraste, medindo aproximadamente 7,7 cm. A lesão se exterioriza para o canal vaginal, com obliteração dos fórnices, e apresenta perda do anel estromal cervical com invasão parametrial bilateral. Achados compatíveis com neoplasia de colo uterino localmente avançada.




    4. Avaliação das mamas

    • Indicações:
      • Rastreamento em alto risco
      • Avaliação de extensão do câncer
    • Alta sensibilidade para detecção de lesões
RM_mama_B4
Ressonância magnética das mamas com contraste. Observa-se nódulo oval, de margens circunscritas, apresentando realce homogêneo após contraste, com curva cinética do tipo washout. Localiza-se no quadrante inferolateral da mama direita, medindo cerca de 1,0 cm. Apesar da morfologia relativamente benigna, o padrão cinético suspeito reforça a classificação como BI-RADS® 4.




    5. Avaliação de condições específicas

    •  Estudo de:
      • Placenta (ex: acretismo placentário)
      • Avaliação de alterações no SNC fetais
    • Alternativa em:
      • Pacientes que necessitam evitar radiação
acretismo_RM
Versão completa (explicativa) Ressonância magnética da pelve (plano sagital, sequência ponderada em T2). Observa-se placenta prévia centro-total, com sinal heterogêneo e perda do afilamento habitual, determinando abaulamento do contorno uterino anterior. Notam-se bandas intraplacentárias hipointensas em T2, associadas à irregularidade e adelgaçamento da interface miométrio-placentária, com áreas de perda dessa interface. Achados compatíveis com espectro de placenta acreta.



Vantagens

  • Melhor contraste de partes moles

  • Sem radiação

  • Estudo multiplanar

  • Método de maior detalhamento anatômico

Limitações

  • Menor disponibilidade

  • Exame demorado

  • Artefatos de movimento

  • Custo elevado

  • Pode ser desconfortável (claustrofobia)


8- PET-CT

--> O PET-CT combina informação anatômica da tomografia com informação metabólica do PET, sendo útil principalmente no estadiamento e na avaliação de recorrência tumoral.


Principais utilidades

  • 1. Avaliação de recorrência tumoral

    • Diferenciação entre:
      • Recidiva tumoral
      • Fibrose ou alterações pós-tratamento
    • Muito útil em:
      • Elevação de marcadores tumorais sem localização definida

    2. Monitoramento de resposta terapêutica

    • Avaliação precoce da resposta a:
      • Quimioterapia
      • Radioterapia
      • Terapias-alvo
    • Permite identificar:
      • Resposta metabólica antes de alterações anatômicas

    3. Investigação de doença metastática

    • Avaliação de:
      • Comprometimento sistêmico
      • Extensão global da doença
    • Útil em planejamento terapêutico

    4. Situações selecionadas

    • Avaliação de:
      • Linfonodos indeterminados
      • Lesões de difícil caracterização por outros métodos
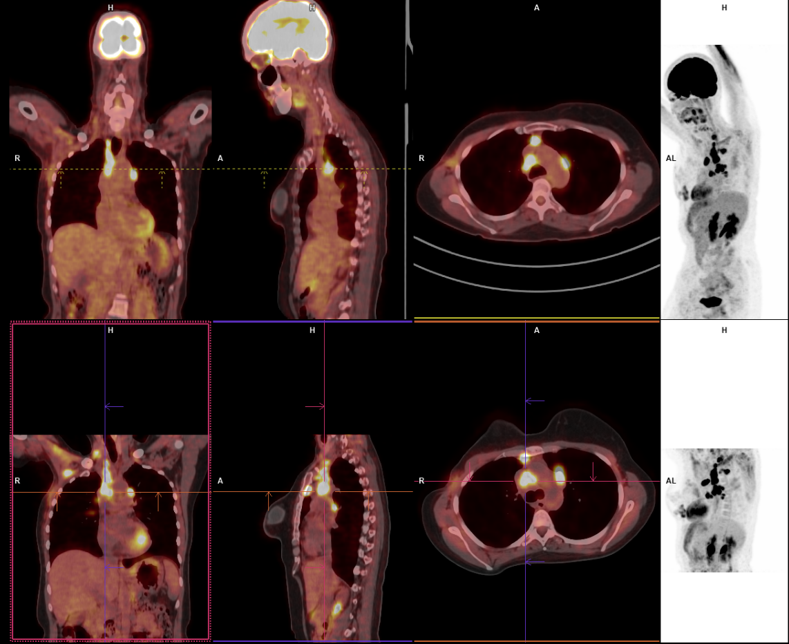
    PET_CT_5oAno
    PET-CT com FDG em paciente com câncer de mama. Observam-se focos de hipercaptação em linfonodos mediastinais, compatíveis com acometimento metastático. O exame demonstra a utilidade do PET-CT na detecção de doença sistêmica e no estadiamento oncológico.





Vantagens

  • Combina função metabólica + anatomia em um único exame

  • Alta sensibilidade para identificar doença metastática oculta

  • Excelente para avaliar recorrência quando outros métodos são inconclusivos

  • Permite quantificar atividade tumoral (SUV), auxiliando decisões terapêuticas

  • Pode detectar lesões não evidentes em RM, TC, US ou MG


Limitações

  • Baixa especificidade: inflamação e infecção também captam FDG

  • Baixa sensibilidade para tumores de crescimento lento ou pouco ávidos por glicose (ex.: carcinoma de endométrio grau 1, certos tumores mucinosos)

  • Menor desempenho em lesões < 5 mm

  • Custo elevado e menor disponibilidade

  • Envolve radiação ionizante (PET + TC)




Comparação dos Métodos de Imagem na Saúde da Mulher

Clique em um método para ver mais detalhes

Quando Usar

Avaliação torácica, abdome agudo e metástases ósseas

Vantagens

Rápida, barata, amplamente disponível

Limitações

Baixa resolução para partes moles

Quando Usar

Investigação da infertilidade e permeabilidade tubária

Vantagens

Avalia cavidade uterina e tubas

Limitações

Usa radiação e pode ser desconfortável

Quando Usar

Exame de primeira linha para avaliação ginecológica

Vantagens

Sem radiação, acessível, avaliação dinâmica

Limitações

Dependente do operador

Quando Usar

Rastreamento e diagnóstico do câncer de mama

Vantagens

Detecta câncer precocemente

Limitações

Menor sensibilidade em mamas densas

Quando Usar

Diagnóstico de osteoporose

Vantagens

Baixa radiação, método padronizado

Limitações

Avalia apenas densidade óssea

Quando Usar

Estadiamento oncológico e avaliação abdominal

Vantagens

Avaliação rápida de múltiplos órgãos

Limitações

Usa radiação

Quando Usar

Caracterização de lesões pélvicas complexas

Vantagens

Excelente contraste de partes moles

Limitações

Alto custo

Quando Usar

Estadiamento tumoral e recorrência

Vantagens

Avaliação metabólica do tumor

Limitações

Alto custo e menor disponibilidade

Mensagem-chave

A ultrassonografia é o exame de primeira linha na avaliação ginecológica, enquanto a mamografia é o principal método de rastreamento do câncer de mama. A ressonância magnética e a tomografia são utilizadas principalmente para caracterização adicional e estadiamento. O PET-CT é reservado para casos selecionados, como avaliação de recorrência não esclarecida pelos outros métodos.