A compreensão da sonoanatomia mamária constitui o alicerce para uma interpretação ultrassonográfica segura, consistente e reprodutível. O reconhecimento sistemático das camadas e planos estruturais da mama, associado ao entendimento dos padrões ecográficos normais, da organização ducto-lobular e da composição tecidual do parênquima, permite localizar adequadamente os achados, diferenciar variações anatômicas de lesões verdadeiras e correlacionar com precisão os diferentes métodos de imagem. Esse conhecimento é fundamental para a aplicação correta dos critérios morfológicos do BI-RADS®, conforme as recomendações mais recentes, e para uma comunicação clara e clinicamente relevante dos resultados. Sem esse alicerce anatômico, a análise ultrassonográfica perde precisão, reprodutibilidade e valor clínico.
Planos estruturais da mama à ultrassonografia
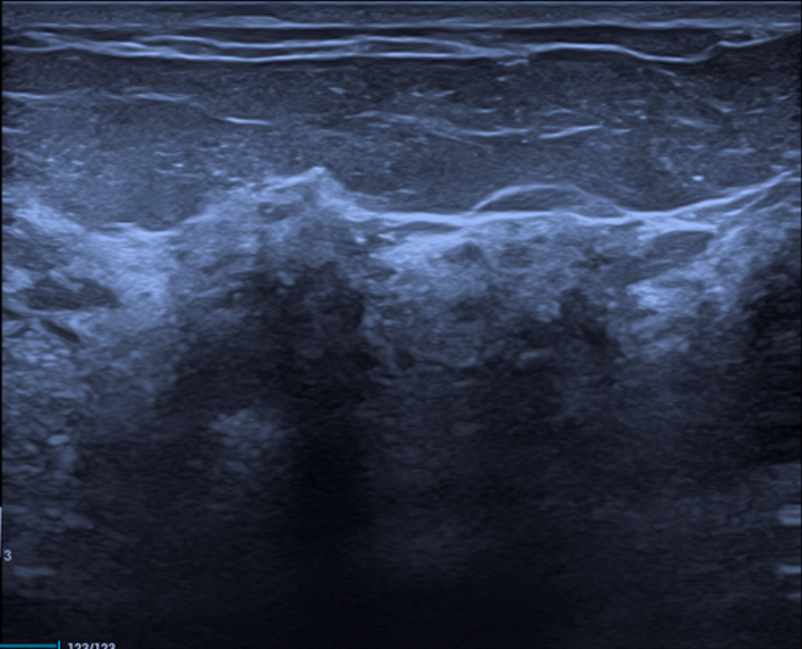
A anatomia mamária normal apresenta uma organização em camadas bem definidas à ultrassonografia, funcionando como um mapa anatômico fundamental para a localização e a descrição dos achados. Na prática clínica — especialmente na correlação com a mamografia e com a ressonância magnética — identificar a camada tecidual ou a interface anatômica em que uma lesão se localiza costuma ser mais informativo do que estimar sua profundidade absoluta ou a distância exata em relação ao mamilo, parâmetros que podem variar significativamente em função da compressão mamária. A descrição precisa da camada anatômica do achado de imagem, bem como da interface entre camadas adjacentes, contribui para a correta correlação entre diferentes métodos de imagem, auxiliando na interpretação de que achados aparentemente distintos correspondem à mesma lesão.
Da superfície para a profundidade, identificam-se: a pele ecogênica; a gordura subcutânea ou pré-glandular, geralmente isoecóica e atravessada pelos ligamentos de Cooper; a zona fibroglandular, de ecogenicidade predominantemente aumentada; e a gordura retroglandular, novamente isoecóica. Todo esse conjunto repousa sobre o músculo peitoral maior, cuja ecogenicidade é semelhante à da gordura. Além das próprias camadas, as interfaces entre elas — como as fáscias pré- e pós-glandulares — constituem marcos anatômicos importantes para a localização das lesões mamárias. O reconhecimento sistemático dessas camadas e de seus limites é essencial para a correta interpretação dos achados ultrassonográficos e para uma comunicação mais precisa da localização das lesões.

A maior parte dos ductos e das unidades funcionais da mama, incluindo as unidades ducto-lobulares terminais (TDLUs), localiza-se na zona glandular, também denominada zona mamária. Essa região é delimitada anteriormente pela fáscia pré-glandular e posteriormente pela fáscia pós-glandular, que definem seus limites anatômicos à ultrassonografia.

A fáscia pré-mamária atua como uma barreira anatômica relativa à progressão superficial das lesões originadas na zona glandular. Como consequência, muitas lesões tendem a crescer preferencialmente no sentido ântero-posterior, ultrapassando planos teciduais, em vez de se expandirem paralelamente à pele. Esse comportamento anatômico explica, em parte, o padrão “taller-than-wide”, considerado um critério morfológico suspeito na ultrassonografia mamária.

Ductos mamários
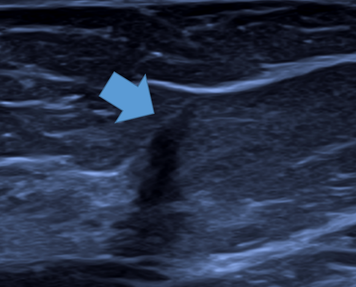
Os ductos mamários apresentam-se à ultrassonografia como estruturas lineares hipoecoicas a isoecoicas, com disposição radial a partir da papila, semelhante aos raios de uma roda. Próximo à papila, seguem um trajeto mais vertical (ântero-posterior), tornando-se progressivamente mais horizontais à medida que se afastam.
O aspecto sonográfico dos ductos é altamente variável e depende principalmente da quantidade de estroma periductal frouxo fibroelástico, do grau de distensão luminal por secreções e da ecogenicidade desse conteúdo. Esse estroma periductal, relativamente isoecoico, pode aumentar o tamanho aparente do ducto, fazendo com que pareça maior do que seu lúmen real.
Em condições ideais, a parede ductal pode ser identificada como uma linha ecogênica fina em cortes longitudinais e como um eco central circular ou linear nos cortes transversais, especialmente na ausência de ectasia ductal.

Lóbulos de gordura
Os lóbulos de gordura mamários são estruturas frequentes e fazem parte da anatomia normal da mama, podendo simular nódulos sólidos à ultrassonografia e constituir fonte tanto de falsos-positivos quanto de falsos-negativos. Cada lóbulo de gordura pode apresentar aspecto nodular em determinados planos de corte, mas geralmente faz parte de uma lâmina contínua de tecido adiposo, em continuidade com a gordura pré-mamária ou retromamária.
Uma característica fundamental é a alta compressibilidade: os lóbulos de gordura são as estruturas mais compressíveis da mama, frequentemente apresentando redução ≥ 30% da dimensão ântero-posterior à compressão com o transdutor, o que constitui forte evidência de natureza adiposa e benignidade (lóbulo de gordura ou lipoma).
Além disso, os lóbulos de gordura não indentam estruturas adjacentes quando comprimidos, ao contrário de nódulos sólidos verdadeiros, como fibroadenomas ou carcinomas, que tendem a deformar tecidos vizinhos.
Frequentemente, os lóbulos de gordura são subdivididos por septos fibrosos finos, visíveis ao ultrassom como linhas ecogênicas retas, geralmente orientadas horizontalmente. Esses septos tornam-se mais evidentes com leve compressão e ajustes finos do posicionamento e do ângulo do transdutor, ajudando a diferenciá-los de nódulos sólidos verdadeiros.

Os ligamentos de Cooper fazem parte do tecido fibroso de sustentação do parênquima mamário. Tratam-se de pregas da fáscia mamária pré-glandular que se estendem da zona mamária até a pele. A espessura da zona mamária é máxima sob os ligamentos de Cooper e entre os seus folhetos o parênquima fibroglandular se projeta em direção à pele, tornando esses os pontos mais propensos à progressão do câncer de mama em direção à pele.

Em fases mais avançadas da involução, remanescentes da zona mamária podem persistir nos pontos de pregueamento da fáscia pré-glandular, correspondentes aos ligamentos de Cooper.


A maior parte das lesões restritas à gordura pré-glandular são patologias da pele e/ou do subcutâneo como lipomas e cistos sebáceos.
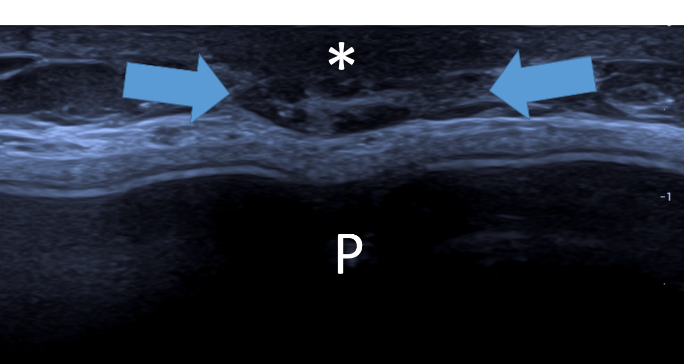
Gordura retroglandular
A gordura retroglandular encontra-se comprimida entre a zona mamária (zona glandular) e o músculo peitoral maior, apresentando, em geral, espessura menor do que a gordura pré-glandular. Em alguns casos, essa camada adiposa pode estar muito delgada ou até não ser claramente identificável à ultrassonografia, o que dificulta a avaliação da relação de lesões profundas com o músculo peitoral maior e a determinação precisa de possível comprometimento muscular.
Unidade funcional da mama

Correlação histológica e ecotextura à ultrassonografia
Unidade ducto-lobular.
O tecido estromal fibroso interlobular apresenta, à ultrassonografia, ecotextura predominantemente hiperecóica, refletindo sua maior densidade e conteúdo colágeno. Em contraste, o tecido glandular propriamente dito — constituído pelos lóbulos — e os elementos ductais tendem a apresentar ecotextura isoecóica ou discretamente hipoecóica em relação à gordura pré-glandular.
Essa heterogeneidade ecográfica é fisiológica e decorre da íntima interposição entre estroma fibroso, unidades ducto-lobulares e tecido adiposo. O reconhecimento dessa arquitetura normal é fundamental para evitar a interpretação equivocada de áreas hipoecóicas como lesões sólidas, quando na realidade correspondem a tecido glandular normal ou ductal.

Composição tecidual e padrão de ecotextura mamária
.
A composição tecidual da mama apresenta ampla variabilidade individual e, assim como na mamografia, essa variação também se reflete nos achados ultrassonográficos. O padrão de ecotextura observado ao ultrassom depende da proporção entre os componentes glandulares (ductos e unidades ducto-lobulares terminais) e o estroma fibroso no interior da zona fibroglandular, localizada entre a gordura subcutânea (pré-glandular) e a gordura retroglandular.
Diferentemente da mamografia — na qual tecido glandular e estroma fibroso apresentam densidades semelhantes — a ultrassonografia permite distinguir esses componentes com maior precisão: o tecido glandular e os elementos ductais tendem a apresentar ecotextura hipoecóica ou isoecóica, enquanto o estroma fibroso interlobular é tipicamente hiperecóico. Essa diferença é fundamental para a identificação de lesões verdadeiras e para a correta interpretação do parênquima de fundo.
Com base na composição tecidual predominante, descrevem-se três padrões básicos de ecotextura mamária ao ultrassom, em concordância com o BI-RADS:
Ecotextura de fundo homogênea gordurosa, na qual os lóbulos adiposos e bandas ecogênicas de sustentação predominam;
Ecotextura de fundo homogênea fibroglandular, caracterizada por uma faixa espessa e relativamente homogênea de parênquima fibroglandular sob uma camada delgada de gordura subcutânea, sendo esse o local onde se concentram a maioria das lesões mamárias;
Ecotextura de fundo heterogênea, na qual áreas de gordura isoecóica se intercalam com regiões fibroglandulares hiperecóicas, refletindo maior complexidade arquitetural do parênquima.

O reconhecimento do padrão de ecotextura de fundo é essencial, pois influencia diretamente a conspicuidade das lesões, a avaliação de seus limites e a aplicação adequada dos critérios morfológicos do BI-RADS.
Componente glandular do tecido mamário (CFG)
A ultrassonografia permite avaliação detalhada da composição tecidual da mama, diferenciando os componentes glandular e estromal da zona fibroglandular com base na ecogenicidade. O tecido glandular, representado principalmente pelas unidades ducto-lobulares terminais (TDLUs), apresenta-se tipicamente hipoecoico ou isoecoico, enquanto o estroma fibroso interlobular é predominantemente hiperecogênico.
A zona fibroglandular não corresponde exclusivamente ao tecido glandular, podendo conter proporções variáveis de estroma e TDLUs. Por esse motivo, o BI-RADS® Ultrassonografia 2025 introduz o conceito de Glandular Tissue Component (GTC) — que pode ser traduzido como componente glandular do tecido mamário (CFG) — definido como a proporção da zona fibroglandular efetivamente ocupada por TDLUs, estimada de forma qualitativa à ultrassonografia.
O CFG é classificado em:
-
Mínimo (< 25%)
-
Leve (25–49%)
-
Moderado (50–74%)
-
Acentuado (≥ 75%)
Estudos demonstram que componentes glandulares moderados ou acentuados estão associados a maior risco futuro de câncer de mama, de forma independente e comparável ao risco observado em mamas com alta densidade mamográfica ou com aumento do realce parenquimatoso na ressonância magnética.
Além disso, o BI-RADS® 2025 recomenda que, em pacientes submetidas à mastectomias preservadoras de pele e/ou do complexo aréolo-papilar, seja descrito o CFG residual, quando presente, bem como sua topografia. Essa informação auxilia o mastologista ou o oncologista na definição da necessidade e do método mais apropriado de rastreamento por imagem.

Referência:
Stavros, A. Thomas., Cynthia L. Rapp, and Steve H. Parker. Breast Ultrasound. Philadelphia, Pennsylvania: Lippincott Williams & Wilkins, 2004
BI-RADS
American College of Radiology. ACR BI-RADS® Atlas: Breast Imaging Reporting and Data System. 5th ed. Reston (VA): American College of Radiology; 2025. Ultrasound section.